淵野辺駅南口より徒歩2分 鹿沼公園横パークサイドビル1階

ご予約・お問い合わせ

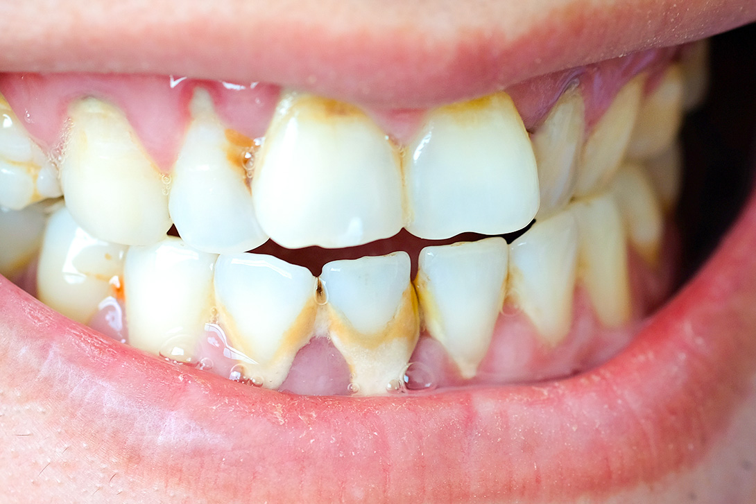
歯垢と歯石の違いとは?

院長 小早川 潔
KIYOSHI.KOBAYAKAWA

歯垢(プラーク)と歯石の決定的な違いとは?

歯垢と歯石の違いとは?|鹿沼台こばやかわ歯科

相模原市中央区、鹿沼台こばやかわ歯科です。 毎日欠かさず歯磨きをしていても「なんだか歯の表面がざらつく」「歯茎が腫れている気がする」といったお悩みを感じることはありませんか。お口のトラブルの多くは、歯垢と歯石を混同し、適切なケアができていないことに原因があるかもしれません。

結論から申し上げますと、歯垢(プラーク)はご自身による毎日の適切なブラッシングで取り除くことができる「細菌の塊」です。一方で歯石は、歯垢が石灰化して硬く固まったものであり、一度ついてしまうと歯ブラシでいくらこすっても、市販のケアグッズを使っても、自力で取り除くことは不可能です。

歯石を安全に除去するには、歯科医院にて専用の超音波スケーラーなどの器具を使い、専門的な振動や技術を用いて分解する必要があります。今回は、お口の健康を守るために知っておきたい歯垢と歯石のメカニズム、そして放置することの恐ろしさについて深く掘り下げて解説していきます。

歯垢(プラーク)の正体は「食べかす」ではない

よく勘違いされやすいのですが、歯垢は単なる「食べ物の残りカス」ではありません。爪で歯の表面をこすったときに付着する、白くてネバネバした物質が歯垢です。その実体は、凄まじい数の「細菌の塊」なのです。

驚くべき細菌の密度

わずか1mgの歯垢の中には、およそ300種類、数億から10億個もの細菌が棲みついていると言われています。非常に多くの細菌が潜んでおり、お口の中は常に細菌感染のリスクにさらされています。

歯垢ができるプロセス

お口の中では、常にダイナミックな変化が起きています。食事をすると唾液の成分から薄い透明な膜(ペリクル)が作られ、歯の表面を覆います。この膜自体は病的なものではなく、食事によって酸性に傾いたお口の中のpH(ピーエイチ)変化から、歯の表面を保護しようとする大切な役割を担っています。

しかし、この膜があることで細菌が歯に付着しやすくなるという側面もあります。ここに細菌が取り付き、食べ物に含まれる糖分をエサにして増殖を繰り返すと、ネバネバとした物質(デキストランなど)を作り出します。これがいわゆる「バイオフィルム」と呼ばれる強固なバリアとなり、歯の表面に強力に付着して歯垢へと成長していくのです。

歯垢の段階ならリセットが可能

歯垢はまだ柔らかい状態ですので、この段階であれば丁寧な歯磨きやフロス、歯間ブラシによって物理的に除去することが可能です。歯垢を放置せず、バイオフィルムを破壊し続けることこそが、虫歯や歯周病予防の第一歩となります。

わずか2日で「石」になる?歯石の恐怖

歯垢が除去されずに残ってしまうと、お口の中の唾液に含まれるミネラル成分(カルシウムやリンなど)と結合し、再石灰化という現象が起こります。これが「歯石」です。

驚異のスピードで進む石灰化

驚くべきことに、付着した歯垢はわずか2日間で歯石へと変化し始めると言われています。「週末に忙しくて磨けなかった」という隙を突いて、汚れは石のように硬くなっていくのです。

一度歯石になってしまうと、もはや歯ブラシの毛先では太刀打ちできません。歯と歯ぐきの境目や、歯の裏側、歯と歯の間など、目立たない場所にこびりついた歯石は、まさに「石」そのものです。無理に自分で取ろうとすると、大切な歯の表面(エナメル質)を傷つけたり、歯ぐきを痛めて化膿させたりする危険があるため、絶対におやめください。

歯石が引き起こす悪循環

歯石そのものは死んだ細菌の塊であることも多いのですが、最大の問題はその「表面の構造」にあります。顕微鏡レベルで見ると、歯石の表面は非常にデコボコしており、ザラついています。

このデコボコがさらなる歯垢の絶好の足場となり、汚れが雪だるま式に蓄積していく温床となります。歯石の上に新しい歯垢がつき、それがまた歯石になり、さらに厚みを増していくという、お口の中での負の連鎖が始まってしまうのです。

放置厳禁!歯石が招く「沈黙の病」歯周病

歯石を放置することは、お口の中に細菌の基地を永住させるようなものです。この基地から放出される毒素が歯肉を刺激し続けることで、歯周病が進行していきます。

歯周病の恐ろしさ

歯周病は、別名「サイレント・ディジーズ(静かなる病気)」と呼ばれます。初期段階では痛みがほとんどなく、気づかないうちに歯を支える骨(歯槽骨)を溶かしていくのが特徴です。

厚生労働省の調査によると、成人の約7割以上が、何らかの形で歯周病にかかっている、あるいはその予備軍であると言われています。歯ぐきから血が出る、口臭が気になる、歯が浮いた感じがするといった症状が出たときには、すでに中等度以上に進行しているケースも少なくありません。

全身疾患への影響

近年の研究では、歯周病菌やその毒素が血管を通じて全身に回ることで、糖尿病の悪化、心疾患、脳梗塞、誤嚥性肺炎、さらには早産や低体重児出産のリスクを高めることが明らかになっています。歯石を放置することは、単にお口の中の問題だけでなく、全身の健康を脅かすリスクを抱えることと同義なのです。

鹿沼台こばやかわ歯科と歩む、二人三脚の予防

私たちは、患者様の歯を一本でも多く残し、一生ご自身の歯で美味しく食事を楽しんでいただきたいと願っています。そのためには、歯科医院でのケアと、ご自宅でのセルフケアの「使い分け」が非常に重要です。

役割分担を明確にする

歯周病治療や予防において、私たちは役割分担を以下のように考えています。

  • 患者様の仕事:歯ぐきより上の汚れ(歯垢)を日々のブラッシングで丁寧に落としきること
  • 歯科医院の仕事:歯ぐきの隙間(歯周ポケット)の中に入り込んだ汚れや、硬くなった歯石を専門器具で除去すること

どんなに私たちが院内でプロフェッショナルケアを施しても、ご自宅でのケアが疎かであれば、わずか数日でまた歯垢が溜まり、歯石へと変わってしまいます。逆に、どんなに患者様が一生懸命磨いていても、届かない場所にある汚れは必ず存在します。

ブラッシングの質を変える

まずは、今までのブラッシング方法を少し見直してみませんか。力を入れすぎていないか、磨く順番は決まっているか、フロスは使っているか。少しのコツを掴むだけで、お口の中の環境は健やかな状態に近づけることができます。

鹿沼台こばやかわ歯科では、患者様一人ひとりのお口の状態に合わせたブラッシング指導を行っています。お口の形や歯並び、生活習慣は人それぞれです。あなたに最適な「汚れを溜めない磨き方」を一緒に見つけていきましょう。

定期検診は「お口の掃除」

歯石の付着を防ぐためには、糖分を摂取した後の早めのケアと、食べ残し・飲み残しを口の中に放置しないことが基本です。しかし、どうしても付いてしまうのが歯石です。

3ヶ月から半年に一度、定期検診にお越しいただくことで、私たちは歯垢が歯石に変わる前に、あるいは硬い歯石が歯周病を悪化させる前に、細部まで丁寧にクリーニングを行います。プロの手によるケアを習慣にすることで、将来的に歯を失うリスクを抑えることにつながります。

健康な歯と歯ぐきは、日々の努力と定期的なメンテナンスの賜物です。歯周病や虫歯に負けないお口づくりを目指して、二人三脚で共に頑張りましょう。気になることがあれば、いつでもお気軽にご相談ください。

TOP